¿Te levantas con dolor de cabeza o en la mandíbula? ¿Notas que rechinas los dientes inconscientemente? Muchas personas lo relacionan con el estrés o el cansancio, aunque en realidad estos son signos de tener bruxismo.
Este hábito involuntario desgasta los dientes y sobrecarga la articulación temporomandibular (ATM). Por eso, en este artículo te contamos cómo saber si tienes bruxismo y qué síntomas deben ponerte en alerta.
Menú de contenidos del Post
¿Qué es el bruxismo?
El bruxismo es el hábito involuntario de rechinar o apretar los dientes, sobre todo durante la noche mientras dormimos, aunque también puede aparecer durante el día en momentos de tensión o concentración.
Este movimiento inconsciente de la mandíbula provoca un desgaste prematuro del esmalte dental, dolor muscular en la cara o el cuello, cefaleas y, en los casos más graves, problemas en la articulación temporomandibular (ATM).
¿Cómo puedo saber si tengo bruxismo?
El bruxismo a menudo pasa desapercibido hasta que aparecen las primeras señales: dientes desgastados, tensión en la mandíbula o molestias al despertar.
A veces es el propio odontólogo quien lo detecta durante una revisión rutinaria, o alguien cercano quien nota que rechinas los dientes mientras duermes.
Sin embargo, el cuerpo suele avisar antes. Dolor al masticar, rigidez al abrir la boca o una sensación constante de presión en la cara son señales que conviene escuchar y revisar cuanto antes.
Síntomas del bruxismo
1. Cara más cuadrada o ancha
El músculo masetero, que usamos al masticar, se hipertrofia cuando apretamos los dientes con frecuencia. Ese aumento de volumen ensancha la parte inferior del rostro, dando lugar al conocido “efecto cara cuadrada”.
Muchas personas lo notan al comparar fotos antiguas, cuando la mandíbula se veía más fina.
2. Mandíbula rígida o dolorida
Despertarse con tensión o rigidez en la mandíbula es una de las señales más claras.
El esfuerzo repetido afecta a la articulación temporomandibular (ATM), que conecta la mandíbula con el cráneo. Si se inflama, la movilidad se reduce y el dolor puede hacerse crónico si no se trata a tiempo.
3. Desgaste dental visible
El roce constante erosiona el esmalte dental, dejando los dientes más cortos, planos o con pequeñas fracturas.
También es común sentir sensibilidad al frío, al calor o al masticar ciertos alimentos.
Este tipo de desgaste altera la forma de la sonrisa y envejece la expresión del rostro.
4. Apariencia más cansada o envejecida
La tensión continua en los músculos faciales endurece los rasgos y resta frescura a la expresión.
Además, la pérdida de altura en los dientes reduce el soporte natural del rostro, lo que acentúa arrugas y provoca una apariencia más envejecida, incluso aunque hayas descansado bien.
5. Dolor de cabeza, cuello u oído sin causa aparente
El dolor no siempre aparece en la boca.
La tensión mandibular se irradia hacia la cabeza, el cuello o los oídos, generando molestias que muchas veces se confunden con migrañas o problemas cervicales.
Cuando no se trata, el dolor se vuelve persistente y afecta a la calidad de vida.
6. Insomnio o sueño poco reparador
Las personas que tienen bruxismo suelen mover la mandíbula durante la noche, lo que interrumpe el descanso.
El resultado es un sueño poco profundo, fatiga al despertar y dificultad para concentrarse durante el día.
7. Mareos o vértigos
La tensión cervical provocada por el esfuerzo mandibular puede derivar en mareos o sensación de inestabilidad, especialmente al levantarse o girar la cabeza.
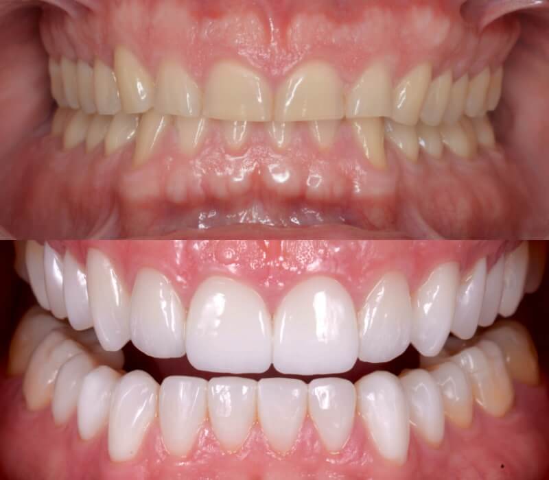
Caso de bruxismo, dolor mandibular y desgaste dental
Este paciente que acude por dolor muscular y articular, junto con un desgaste evidente en los dientes causado por bruxismo.
Tras un estudio completo de la articulación y de la mordida, se llevó a cabo un tratamiento de estabilización mandibular y tonificación muscular para equilibrar la función y aliviar la tensión.
Una vez estabilizada la mandíbula, se realizó una rehabilitación mínimamente invasiva, combinando carillas de cerámica y de composite de alta estética.
Recuperó la estabilidad mandibular, desapareció el dolor y se consiguió una sonrisa armónica, funcional y natural, con un resultado estético duradero y conservador.
¿Cómo se diagnostica el bruxismo?
En nuestra Clínica Dental de Granollers, realizamos un diagnóstico completo del bruxismo para tratar el problema desde su origen funcional y oclusal, combinando experiencia clínica y tecnología digital de última generación.
Entrevista clínica personal
Analizamos los síntomas, hábitos y antecedentes médicos de cada paciente para identificar las causas que provocan el bruxismo y y su impacto en la función mandibular.
Exploración funcional
Evaluamos el estado de la mordida, la musculatura y la articulación temporomandibular (ATM), identificando signos de desgaste dental, tensión muscular o desajustes mandibulares.
Pruebas digitales 3D
Gracias al escáner intraoral y la radiografía tridimensional (CBCT), obtenemos imágenes precisas y cómodas sin necesidad de moldes tradicionales.
Estos sistemas nos permiten estudiar la anatomía dental y articular en detalle y planificar cada tratamiento con la máxima exactitud.
Planificación multidisciplinar
Diseñamos un plan terapéutico adaptado a cada caso, que puede incluir férulas oclusales, fisioterapia orofacial, ortodoncia o rehabilitación oral, según el origen funcional del bruxismo.
Este proceso diagnóstico y tecnológico nos permite actuar sobre el origen real del bruxismo, mejorar la función masticatoria y ofrecer tratamientos más eficaces, personalizados y duraderos.
Preguntas frecuentes sobre los síntomas del bruxismo
Si notas tensión en la mandíbula, dolor al despertar o los dientes más desgastados, es normal que te surjan dudas antes de acudir a la clínica.
A continuación, respondemos a las preguntas más habituales que nos hacen los pacientes que sospechan que pueden tener bruxismo:
1. ¿Puedo tener bruxismo aunque no rechine los dientes?
Sí. El bruxismo no siempre produce ruido al dormir. Muchas personas solo aprietan los dientes de forma inconsciente, lo que genera tensión en la mandíbula, rigidez al despertar o desgaste dental, sin llegar a rechinarlos.
2. ¿Qué síntomas aparecen al principio?
Los primeros signos suelen ser dolor o rigidez en la mandíbula, cefaleas al despertar y sensibilidad dental.
También puede notarse que los dientes están más planos o con los bordes desgastados.
3. ¿Puede causar dolor de oído o de cuello?
Sí. La tensión de los músculos mandibulares puede extenderse hacia el cuello, la cabeza o los oídos, provocando molestias similares a migrañas o contracturas cervicales.
4. ¿Qué pasa si no lo trato?
Si no se trata, tener bruxismo puede provocar desgaste dental, fracturas, dolor crónico o problemas en la articulación temporomandibular (ATM), afectando tanto a la función como a la estética dental.
5. ¿Cuándo debo acudir al dentista si sospecho que tengo bruxismo?
Si sientes dolor al masticar, tensión en la mandíbula o los dientes más sensibles de lo habitual, es buen momento para pedir una revisión.
Detectar el problema a tiempo evita complicaciones mayores y ayuda a mantener tu sonrisa sana.
¿Notas tensión en la mandíbula o los dientes desgastados?
En COI Clínica Dental, el Dr. Pablo Rial, especialista en prostodoncia y rehabilitación oral, lidera el diagnóstico y tratamiento de los casos de bruxismo.
Si notas tensión en la mandíbula, desgaste en los dientes o molestias al despertar, pide cita con nosotros.
Te ayudaremos a reducir el dolor, proteger tus dientes y recuperar el confort al masticar con un tratamiento adaptado a ti.





