Estamos seguros de que, si has llegado hasta aquí, es porque te ronda una duda muy concreta: ¿qué pasa si tengo un diente astillado? Y, sobre todo, ¿se puede arreglar sin ir al dentista?
¡No te preocupes! Los dientes astillados son una de las consultas más habituales en clínica. A menudo no duelen, no sangran y no parecen urgentes, pero generan inquietud y hay que valorarlos cuanto antes para evitar que el problema vaya a más.
Sigue leyendo si quieres saber cómo identificar un diente astillado, por qué ocurre y cuáles son las opciones de tratamiento para solucionarlo de forma segura y conservadora.
Menú de contenidos del Post
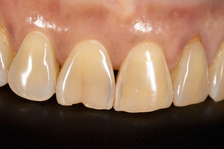
¿Cómo se ve un diente astillado?
Un diente astillado es un diente que ha perdido una pequeña parte de su esmalte. No está roto por completo, pero sí presenta una alteración en su superficie.
Puede verse como una línea fina, una pequeña grieta o un borde irregular. En algunos casos falta un fragmento mínimo del diente, sobre todo en los incisivos. Otras veces el cambio es tan leve que apenas se aprecia a simple vista.
Aunque el daño sea pequeño, el diente ya no tiene su estructura intacta. Por eso, si no se trata, puede generar sensibilidad, molestias al masticar o evolucionar hacia una fractura mayor.
¿Cómo identificarlo?
- A simple vista, se ven pequeñas líneas, grietas o una forma irregular en el diente.
- Al pasar la lengua, notas que el diente áspero.
- Aparecen molestias y cierta sensibilidad al tomar alimentos fríos o calientes.
- Sientes incomodidad o molestias al masticar.
- Observas bordes irregulares en el contorno del diente, especialmente en la zona incisal.
¿Por qué se astilla un diente?
En primer lugar, hay que aclarar que el esmalte dental, aunque es el tejido más duro del cuerpo humano, no es indestructible. Con el paso del tiempo se desgasta y pierde resistencia, algo que forma parte del envejecimiento natural de los dientes.
Sin embargo, cuando un diente se astilla con facilidad, de forma repetida o en personas jóvenes, lo habitual es que existan causas más allá de ese desgaste natural que debilitan su estructura y favorecen la fractura.
Causas de un diente astillado
Golpes y traumatismos
Los impactos directos en la boca, ya sea por caídas, accidentes o la práctica de determinados deportes, son una causa frecuente de dientes astillados.
En ocasiones, el daño no aparece en el momento del golpe, sino tiempo después, cuando el esmalte ya debilitado acaba fracturándose ante una fuerza menor.
Morder alimentos u objetos duros
Masticar hielo, frutos secos con cáscara, caramelos duros o usar los dientes para abrir envases somete al esmalte a una presión excesiva.
Este tipo de esfuerzos repetidos favorece la aparición de pequeñas fracturas que terminan en un diente astillado.
Bruxismo
El bruxismo es uno de los factores que más desgaste provoca en los dientes.
Apretar o rechinar los dientes, muchas veces de forma inconsciente o durante el sueño, genera una sobrecarga constante sobre el esmalte. Con el tiempo, este desgaste debilita la estructura dental y facilita que aparezcan astillas o fracturas.
Cambios bruscos de temperatura
Alternar alimentos o bebidas muy frías con otras muy calientes provoca dilataciones y contracciones del esmalte.
Este estrés térmico puede generar microfisuras que, con el uso diario del diente, acaban convirtiéndose en pequeñas astillas.
Empastes grandes o antiguos
Los dientes con restauraciones amplias tienen menos estructura natural que los proteja.
Con el paso del tiempo, estos empastes pueden perder ajuste o resistencia, haciendo que el diente sea más vulnerable y se fracture con mayor facilidad.
Caries y esmalte debilitado
Cuando existe una caries, el esmalte pierde consistencia.
Aunque no siempre provoque dolor, un diente afectado por caries se vuelve más frágil y tiene más riesgo de astillarse incluso ante fuerzas normales al masticar.
¿Cuál es la diferencia entre un diente astillado y uno roto?
Un diente astillado presenta una fisura en el esmalte. La pieza dental está completa, pero su estructura ya no es íntegra y existe riesgo de que termine rompiéndose si no se trata a tiempo.
A diferencia de un diente roto, el astillado no ha perdido una parte visible del diente. Suele notarse por una aspereza, una pequeña grieta o sensibilidad al frío o al masticar.
El diente roto, por su parte, implica la pérdida de una parte del diente. El daño es mayor y puede afectar a capas internas, incluido el nervio, lo que requiere tratamientos más complejos y una atención más urgente.
¿Cómo arreglar un diente astillado?
La reparación de un diente astillado requiere una visita al dentista de confianza. El esmalte dental no se regenera, por lo que una vez se produce la fisura, es necesario intervenir para evitar que el daño avance.
Por eso, aunque algunas personas se preguntan cómo arreglar un diente astillado sin ir al dentista, lo más recomendable es acudir a un profesional. Solo así se recupera la funcionalidad del diente y se previene una fractura mayor.
El tratamiento depende del grado de afectación y del diente implicado.
1. Bonding dental
El bonding consiste en reconstruir la parte dañada del diente con composite.
Este material es una resina que se adapta con facilidad y reproduce con precisión el color natural del diente. Una vez modelado, el dentista lo endurece mediante una lámpara de polimerización.
Es una solución habitual cuando la fisura es pequeña o moderada y el diente conserva buena parte de su estructura.
2. Carillas dentales o corona
Las carillas dentales permiten corregir pequeñas alteraciones de forma, tamaño o color y, además, protegen el diente.
Cuando una pieza presenta varias fisuras o un esmalte muy debilitado, una carilla de composite o porcelana aporta la resistencia que necesita.
Si el desgaste o la astilla son mayores y el diente ha perdido mucha estructura, el especialista puede recomendar la colocación de una corona o funda para protegerlo por completo.
3. Incrustación dental
La incrustación es otra opción para reparar un diente astillado, aunque se utiliza sobre todo en molares.
Este tratamiento permite restaurar piezas que han perdido gran parte de su estructura, ya sea por caries, fracturas o fisuras, reforzando el diente sin necesidad de cubrirlo por completo con una corona.
Conclusión
Si notas que un diente se ha astillado, lo primero que debes hacer es evitar morder con esa zona y no manipular el diente.
Después, acude cuanto antes a tu dentista para que valore la gravedad de la fisura y determine el tratamiento más adecuado.
Todo dependerá del grado de afectación del esmalte y de si existen otros daños que deban tenerse en cuenta.
En cualquier caso, mantén la calma. Un diente astillado tiene solución si se trata a tiempo.
¿Notas aspereza, sensibilidad o molestias al masticar? Puedes tener un diente astillado
Si estás en Granollers, COI Clínica Dental podemos ayudarte. Somos especialistas en estética dental.





