¿Has perdido alguna pieza y te han hablado de prótesis dentales? Por suerte, existen varias soluciones para devolver la funcionalidad a tu boca y la estética a tu sonrisa.
Las prótesis no solo sustituyen dientes, también mejoran la masticación, la pronunciación y la armonía facial. Además, evitan que se pierda hueso y ayudan a proteger la salud de tus encías y dientes naturales. Te contamos en qué consisten las prótesis dentales, qué problemas solucionan y qué tipos existen.
Menú de contenidos del Post
¿Qué es una prótesis dental?
Una prótesis dental es un elemento artificial diseñado para sustituir uno o varios dientes perdidos, o reparar piezas dañadas. Su objetivo es recuperar tanto la función como la estética de la boca.
Gracias a materiales biocompatibles, la adaptación es cómoda y no genera sensación de llevar un cuerpo extraño. De hecho, el tacto y la apariencia son muy similares a los de tus propios dientes.
El especialista encargado de este tratamiento es el prostodoncista, que trabaja en coordinación con implantólogos y técnicos de laboratorio para diseñar la mejor solución en cada caso.
¿Qué problemas ayudan a tratar las prótesis dentales?
Perder uno o varios dientes no solo cambia tu sonrisa, también afecta a la manera en la que comes, hablas e incluso a cómo te ves a ti mismo frente al espejo.
Las prótesis dentales devuelven algo más que piezas perdidas, recuperan salud, comodidad y confianza.
- Masticación eficaz: cuando faltan dientes, triturar bien los alimentos se vuelve complicado. Con una prótesis vuelves a comer con normalidad y tu digestión mejora.
- Pronunciación clara: los huecos en la boca alteran la forma de hablar. Al reponer las piezas, recuperas una articulación correcta y te expresas con mayor seguridad.
- Estética facial: los dientes sostienen labios y mejillas. Sin ellos, la cara pierde volumen y aparecen arrugas prematuras. Una prótesis devuelve armonía al rostro.
- Confianza y autoestima: volver a sonreír sin complejos transforma la manera en la que te relacionas con los demás.
- Salud de las encías y dientes vecinos: las prótesis evitan que las piezas adyacentes se muevan y aparezcan caries o problemas periodontales.
- Prevención de pérdida ósea: al estimular la mandíbula, ayudan a conservar el hueso y frenan su reabsorción.
Estamos ante un tratamiento que no solo restaura la función de tu boca, sino que también protege tu salud y mejora tu calidad de vida.
¿Qué tipos de prótesis dentales hay?
Existen varias formas de clasificar las prótesis dentales, aunque la más común es dividirlas entre las que puedes retirar tú mismo y las que solo el odontólogo puede colocar o quitar.
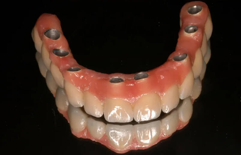
Prótesis dentales fijas
Una prótesis dental fija es aquella que solo coloca o retira el odontólogo, ya que permanece unida de forma permanente a la boca. No necesitas extraerla, porque no deja pasar restos de comida.
Se fija sobre tus propios dientes o sobre implantes colocados en el hueso maxilar o mandibular, lo que se conoce como prótesis implantosoportada.
- Sobre implantes: indicadas cuando faltan varias piezas. Se colocan sobre implantes integrados en el hueso, ofreciendo una sujeción sólida y duradera.
- Sobre dientes naturales: si aún conservas piezas sanas, se utilizan como pilares para fijar la prótesis. Es una alternativa estética y resistente.
Prótesis dentales removibles
Una prótesis dental removible reemplaza los dientes perdidos y devuelve función, estética y salud a la boca. Se caracteriza porque puedes quitarla y ponerla sin dificultad, lo que facilita su limpieza.
Se fabrica con una base acrílica o metálica que imita la encía y sostiene los dientes artificiales. Según el caso, se apoya en la mucosa, en dientes naturales, en implantes o en una combinación de ellos.
Tipos de prótesis removibles:
- Mucosoportadas: descansan sobre la encía y el hueso maxilar. Son la opción clásica en casos de pérdida total de dientes.
- Mucoimplantosoportadas: combinan el apoyo en la encía con la sujeción sobre implantes, lo que aporta más firmeza y comodidad.
- Dentosoportadas: se sujetan a dientes naturales mediante retenedores metálicos o ganchos, ofreciendo una mayor fijación.
- Mixtas: integran una parte fija y otra removible mediante un sistema de anclaje oculto (atache), lo que mejora el ajuste y la estética.
El Dr. Gabriel Camí, especialista en implantología avanzada, destaca que en COI nos especializamos en sobredentaduras sobre implantes, porque combinan lo mejor de las prótesis removibles y la estabilidad de los implantes.
Con ellas, los pacientes disfrutan de mayor seguridad y comodidad en su día a día, además de preservar mejor el hueso maxilar y recuperar la naturalidad al hablar, comer y sonreír.
Si buscas recuperar la estética y la funcionalidad de tu boca, ofrecemos soluciones de prótesis dentales en Granollers adaptadas a cada paciente.
¿Cuáles son las ventajas de las prótesis dentales?
La principal ventaja de las prótesis dentales es su capacidad para reemplazar los dientes perdidos y devolver la funcionalidad completa a la boca.
Estas son algunas de ellas:
Restauran la funcionalidad bucal
Los pacientes recuperan la capacidad de masticar correctamente y mejoran su pronunciación, lo que facilita la digestión y la comunicación diaria.
Solución cómoda, eficaz y adaptable
Existen opciones fijas y removibles que se ajustan a cada necesidad. Todas aportan comodidad, estabilidad y eficacia, permitiendo comer, hablar y sonreír con tranquilidad.
Previenen problemas mayores
Además de sustituir las piezas ausentes, ayudan a mantener la posición de los dientes naturales, protegen las encías y estimulan el hueso maxilar, reduciendo el riesgo de pérdida ósea.
Mejora estética, naturalidad y autoestima
Las prótesis están diseñadas para integrarse de manera natural con el resto de la boca.
Recuperar una sonrisa bonita y funcional incrementa la confianza y mejora la calidad de vida.
¿Necesitas una clínica especialista en prótesis dentales?
En COI, el Dr. Pablo Rial lidera el área de prostodoncia y se encarga del diagnóstico, diseño y adaptación de cada caso.
Lo hace siempre en coordinación del laboratorio protésico, lo que nos permite ofrecer prótesis duraderas, funcionales y con una apariencia completamente natural.
Si estás valorando este tratamiento, pide cita con nosotros y descubre cómo recuperar la funcionalidad y la estética de tu boca con resultados totalmente personalizados.





