Hay casos en los que los dientes no encajan bien porque falta espacio en la arcada. Esto provoca apiñamiento, problemas de mordida o alineación. En estas situaciones, el stripping dental es una solución eficaz: crea pequeños espacios entre los dientes para recolocarlos sin necesidad de extraer piezas.
En este artículo te explicamos qué es, para qué sirve, en qué casos se recomienda y si duele o tiene riesgos.
Menú de contenidos del Post
¿Qué es el stripping dental?
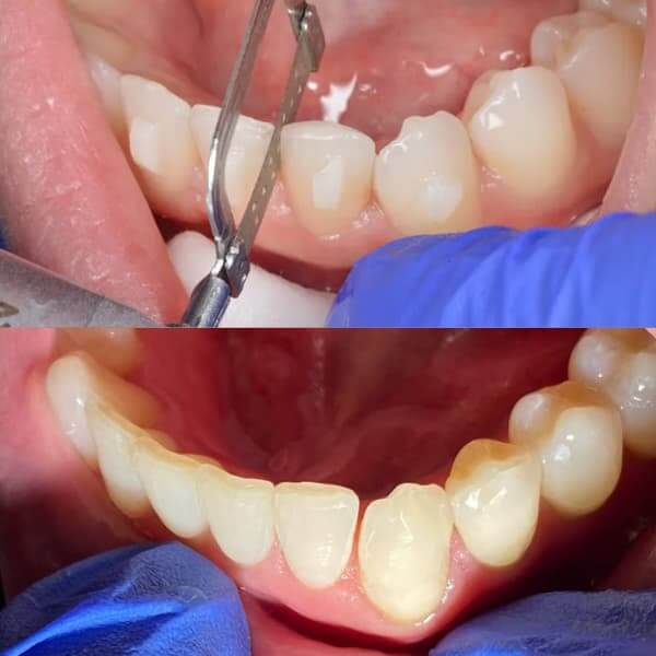
El stripping dental o reducción interproximal (IPR) es una técnica común en ortodoncia que consiste en pulir ligeramente el esmalte de los dientes para ganar espacio interdental y cierren mejor entre sí (entre 0,2 y 0,5 milímetros).
Es un tratamiento conservador, indoloro y sencillo, ideal para casos leves donde el problema está relacionado con el tamaño o la forma de los dientes.
¿Para qué sirve el stripping dental en ortodoncia?
El stripping dental se utiliza para ganar espacio en la arcada y así mejorar la alineación y el encaje de los dientes sin recurrir a extracciones.
- Crea pequeños espacios entre los dientes cuando su tamaño o forma dificulta una correcta alineación.
- Evita la extracción de piezas dentales en muchos tratamientos de ortodoncia.
- Facilita que los dientes encajen en su posición correcta sin montarse unos sobre otros.
- Ayuda a cerrar o prevenir espacios indeseados entre dientes.
- Contribuye a corregir problemas de mordida y mejorar la oclusión.
- Permite lograr una sonrisa más armónica tanto a nivel funcional como estético.
¿En qué casos se realiza la técnica de stripping dental?
Como hemos visto, este tratamiento es una excelente opción cuando necesitamos crear espacio entre dientes sin recurrir a extracciones y mejorar tanto la estética como la función de la mordida.
Su función no es otra que redistribuir el espacio disponible entre los dientes para que encajen de forma correcta y armónica.
¿En qué casos se aplica?
Apiñamiento leve o falta de espacio
Cuando los dientes están ligeramente montados, el stripping crea el espacio necesario en la arcada para alinearlos sin recurrir a extracciones.
Alternativa a la extracción en ortodoncia
En casos donde el espacio que falta es reducido, el limado interproximal evita extraer piezas.
Si el apiñamiento es severo, sí conviene valorar la extracción.
Corrección de la mordida u oclusión
Se utiliza para equilibrar las fuerzas masticatorias, ajustando puntos de contacto o pequeñas interferencias entre dientes.
Discrepancia de Bolton
Cuando existe una diferencia de tamaño entre dientes superiores e inferiores, el stripping ayuda a igualarlos para que encajen correctamente.
Eliminación de troneras gingivales
Permite cerrar las troneras dentales o los “triángulos negros” entre dientes, mejorando tanto la estética como la higiene.
Armonización del tamaño dental
En personas con dientes de tamaños desiguales, el stripping o limado de dientes equilibra proporciones y consigue una sonrisa más uniforme.
Preguntas frecuentes sobre implantes en un día
¿Esta técnica duele?
El stripping dental no duele y no requiere anestesia, ya que es una técnica mínimamente invasiva.
Durante el procedimiento puedes notar una ligera incomodidad, sobre todo por la sensación del limado o la vibración de los instrumentos. Se trata de algo puntual y totalmente llevadero.
La percepción varía según cada persona, pero en ningún caso se considera un tratamiento doloroso.
A fin de cuentas, en manos de un profesional cualificado, el stripping es un tratamiento seguro, rápido y cómodo.
¿Tiene desventajas para mi salud bucodental?
El stripping no tiene efectos negativos si se realiza correctamente.
El limado es mínimo y está totalmente controlado, por lo que no daña el diente ni aumenta el riesgo de caries o sensibilidad.
Además, los espacios que se crean son temporales y desaparecen al finalizar el tratamiento.
¿Cuánto esmalte se elimina con el stripping?
Se elimina una cantidad mínima, generalmente entre 0,2 y 0,5 mm, siempre de forma controlada.
¿Sustituye a la ortodoncia?
No, es una técnica complementaria que se utiliza dentro del tratamiento de ortodoncia.
Conclusión
El stripping dental es una técnica eficaz, precisa y mínimamente invasiva para ganar espacio y mejorar la alineación de los dientes sin recurrir a extracciones.
Gracias a su aplicación controlada, se conserva la estructura dental y se optimiza el resultado del tratamiento de ortodoncia.
Siempre debe realizarse tras una valoración personalizada, teniendo en cuenta la posición de los dientes, la mordida y las necesidades de cada paciente.
¿Tienes alguna duda más sobre el stripping dental o reducción interproximal?
No te quedes con dudas y pregúntanos sin compromiso.
Pide tu cita ahora. Estaremos encantados de ayudarte.




