¿Te gustaría mejorar el aspecto de tus dientes? Los tipos de carillas dentales disponibles hoy en día ofrecen soluciones eficaces, estéticas y personalizadas para transformar tu sonrisa.
En este artículo te explicamos cuáles son las más utilizadas, en qué se diferencian, cuándo se recomienda cada una y qué ventajas aporta cada material. Y si te interesa ver resultados reales, también encontrarás ejemplos de antes y después del tratamiento.
Menú de contenidos del Post
¿Qué son las carillas dentales?
Las carillas son láminas muy finas que se colocan sobre la parte visible del diente para mejorar su forma, color, tamaño o apariencia y conseguir una sonrisa más uniforme y estética sin necesidad de tratamientos invasivos.
En función del material, encontramos dos tipos principales: de composite y de porcelana o cerámica. Ambas opciones ofrecen resultados muy estéticos, pero tienen particularidades distintas en cuanto a durabilidad, aplicación o mantenimiento.

Además, es el tratamiento estrella en la estética dental, dado que da solución a problemas como:
- Dientes amarillos o con manchas.
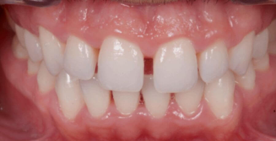
- Pequeños espacios entre dientes (diastemas).
- Fracturas o desgastes.
- Dientes desalineados o asimétricos.
- Problemas de forma o tamaño.
En nuestra clínica dental de Granollers, antes de empezar, realizamos un estudio y diagnóstico personalizado con las última tecnología digital.
A partir de ahí, llevamos a cabo un diseño digital de la sonrisa, que nos permite simular el resultado final antes de iniciar el tratamiento. Así, el paciente puede visualizar cómo será su nueva sonrisa.
¿Qué tipos de carillas existen?
En COI trabajamos principalmente con dos tipos de carillas dentales. Ambas permiten conseguir resultados de alto nivel, tanto a nivel funcional como estético.
Carillas de composite
Las carillas de composite son finas capas de resina que se adhieren a la superficie de los dientes para mejorar su forma, color, tamaño o posición.
Carillas porcelana
Las carillas de porcelana son unas finas láminas cerámicas que se colocan sobre la parte visible del diente para mejorar su forma, tamaño, color o posición.
Veamoslas en detalle:
Carillas de composite o resina
Las carillas de composite se utilizan sobre todo para corregir pequeñas imperfecciones estéticas, como pequeñas fracturas, espacios entre dientes (diastemas) o manchas, sin necesidad de tallar (o apenas) el diente natural.


Caso: Blanqueamiento dental y carillas de composite de la pieza 13 a la 23.
Material
El composite es una resina moldeable que se aplica directamente sobre el diente y se endurece con una luz especial. No necesita apenas tallado del diente natural.
Estética
Permite mejorar la forma, el color y la posición de los dientes de forma muy natural.
Con el tiempo, puede perder algo de brillo o adquirir un tono más oscuro, especialmente en personas fumadoras o que consumen alimentos pigmentados.
Durabilidad
Suelen durar entre 5 y 10 años, aunque esto varía según la higiene oral, los hábitos del paciente y el uso de férulas si hay bruxismo.
Precio
Tienen un coste más asequible que otros materiales, ya que se realizan en clínica y no requieren fabricación en laboratorio.
Reparaciones
Si se fracturan o desgastan, pueden repararse fácilmente en la consulta, sin necesidad de sustituir toda la carilla.
Conservación del diente natural
Se colocan directamente sobre la pieza sin modificar apenas su estructura. Si se desea retirar, el diente puede mantenerse prácticamente intacto.
Cuidados
- Evitar morder alimentos duros o usar los dientes como herramienta.
- Reducir el consumo de café, té, vino tinto o salsas oscuras.
- Evitar fumar.
- Usar férula de descarga en caso de bruxismo.
- Mantener una buena higiene bucodental y acudir a revisiones periódicas.
El objetivo de nuestros tratamientos de estética dental en la clínica de Granollers es mejorar la apariencia y funcionalidad de tu sonrisa – Dra. Lucía Sanz, especialista en Estética Dental.
Carillas de porcelana o cerámica
Al igual que las de composite, se utilizan principalmente para corregir pequeñas imperfecciones y mejorar la estética de los dientes, como diastemas, desgastes o manchas dentales.


Caso: Cierre de diastemas con seis carillas feldespáticas
Material
Están fabricadas con cerámica fina, dura y resistente. Se elaboran a medida en un laboratorio dental para adaptarse con precisión a cada diente.
Estética
Imitan a la perfección el esmalte natural, tanto en color como en brillo. No pierden tonalidad con el paso del tiempo y ofrecen un acabado muy natural.
Durabilidad
Con buenos cuidados, su duración se sitúa entre los 10 y 15 años. Son más estables frente al desgaste y las manchas.
Precio
El coste es más elevado, ya que el material es más caro y se requiere un proceso de fabricación personalizado en laboratorio.
Reparaciones
En caso de fractura o daño, lo habitual es sustituir toda la carilla, ya que no se pueden reparar de forma parcial.
Conservación del diente natural
Para su colocación, suele ser necesario un leve tallado del diente. Por eso, se considera un tratamiento irreversible.
Cuidados
- Evitar traumatismos o alimentos excesivamente duros.
- Mantener una higiene oral meticulosa.
- Acudir a revisiones periódicas para controlar el estado de las carillas.
- En caso de bruxismo, utilizar férula protectora.
Preguntas frecuentes sobre los tipos de carillas dentales
Sabemos que elegir entre los tipos de carillas dentales puede generar muchas dudas. No se trata solo de estética, también influyen aspectos como el presupuesto, la duración del tratamiento o los hábitos que tengas en tu día a día.
Si te estás planteando mejorar tu sonrisa con carillas dentales, estas son algunas de las preguntas que más nos hacen en consulta.
¿Qué tipo de carillas dentales es mejor?
Ambas opciones, tanto las de composite como las de porcelana, ofrecen buenos resultados estéticos.
La elección depende de distintos factores: qué necesitas corregir, tu presupuesto, el tiempo disponible para el tratamiento o si valoras más un resultado provisional o a largo plazo.
Por eso, antes de decidirse, lo más importante es hacer un diagnóstico personalizado. En base a eso, el profesional puede recomendarte el tipo de carilla que mejor se adapte a tu caso.
¿Cuál es el precio aproximado de las carillas dentales?
El precio depende de varios factores, y puede variar según el caso y la ciudad. En clínicas como la nuestra, en Granollers, influyen:
- El material elegido: La porcelana tiene un coste más elevado que el composite.
- La complejidad del diagnóstico previo: A veces es necesario planificar el caso con fotografía clínica, escaneado digital o diseño de sonrisa.
- Tratamientos complementarios: Como blanqueamiento previo, alargamiento de encías o pequeñas correcciones de mordida.
- Número de carillas a colocar: Cuantas más piezas se traten, mayor será el precio total.
- La experiencia del equipo y la tecnología usada: Cuanto más personalizado y digital sea el proceso, mejores serán los resultados.
Por eso, siempre recomendamos hacer una valoración en clínica para darte un presupuesto ajustado a tu sonrisa.
¿Qué tipo de carillas es más natural?
Ambos tipos de carillas están diseñados para integrarse de forma estética en la sonrisa.
En general, las de porcelana imitan muy bien el esmalte natural del diente. Su brillo, su translucidez y la forma en la que reflejan la luz hacen que el resultado sea prácticamente idéntico a un diente sano mientras que las de composite también permiten un resultado muy armónico y natural.
El efecto final no solo depende del material, sino también del diseño, el color elegido, la forma del diente original y la habilidad del profesional que las coloca.
Conclusión
Elegir entre carillas de composite o de porcelana no es una decisión que debas tomar a ciegas. Cada caso es único y requiere valorar aspectos como el estado de tus dientes, tus expectativas estéticas, tu estilo de vida o el presupuesto disponible.
Por eso, lo más recomendable es que un especialista en estética dental estudie tu sonrisa y te oriente sobre la mejor opción para ti. Así, conseguirás un resultado natural, duradero y a tu medida.
¿Qué tipo de carillas dentales es mejor para ti?
Pide una cita con el equipo de la Dra. Lucía Sanz McCarron, especialista en estética dental.
Con más de 20 años de experiencia en carillas dentales, blanqueamientos y estética restauradora, te ayudarán a encontrar la solución que mejor encaje con tu sonrisa. Te esperamos en nuestra clínica de Granollers.



