Sí, vale la pena. Cada vez más personas adultas deciden mejorar su sonrisa, corregir su mordida o aliviar molestias que arrastran desde hace años. Y lo hacen porque la ortodoncia en adultos funciona.
Cuando los dientes se alinean bien, la boca recupera su equilibrio: mejora la masticación, se reduce el desgaste, desaparecen ciertas tensiones musculares y es más fácil mantener una buena higiene.
En este artículo te contamos por qué puede ser una gran decisión a cualquier edad y cómo puede ayudarte a ganar comodidad, salud y seguridad al sonreír.
Menú de contenidos del Post
Beneficios de la ortodoncia en adultos
La ortodoncia en adultos aporta mejoras evidentes tanto a nivel estético como funcional. Ayuda a recuperar el equilibrio de la mordida, reduce el desgaste de los dientes y previene problemas en encías, mandíbula y articulaciones.
Entre sus principales ventajas destacan:
Mejora la estética y la seguridad al sonreír
La ortodoncia alinea los dientes y embellece la sonrisa. El cambio es visible, pero también emocional: te ayuda a recuperar la confianza y a sentirte bien con tu imagen.
Facilita la higiene
Cuando los dientes están bien colocados, es más fácil cepillarlos a fondo y usar el hilo dental. Así, se elimina mejor la placa bacteriana y se protegen encías y esmalte.
Corrige la mordida y evita desgaste
Una mordida mal alineada provoca sobrecargas en ciertos dientes. Al corregirla, se reparte mejor la presión, se reduce el desgaste y se evitan fisuras o roturas con el tiempo.
Reduce molestias en mandíbula, cuello o cabeza
Muchas veces, una mala oclusión está detrás de dolores musculares, cefaleas o tensión mandibular. Alinear bien los dientes puede aliviar estos síntomas y mejorar el bienestar general.
Previene problemas futuros
Una boca desalineada tiende a deteriorarse más rápido. La ortodoncia corrige esa evolución, previene retracciones de encías y ayuda a conservar piezas dentales durante más años.
Mejora la función al masticar y hablar
Una dentadura bien alineada favorece una masticación más eficaz, mejora la pronunciación de algunos sonidos y evita gestos forzados al hablar o al gesticular.
Prepara el terreno para otros tratamientos
En algunos casos, se necesita hacer espacio antes de colocar implantes, carillas o coronas. La ortodoncia permite planificar mejor otros tratamientos restauradores o estéticos.
Favorece una respiración más fluida
Corregir la posición de las arcadas puede facilitar el paso del aire y reducir pequeñas obstrucciones. Esto se traduce en una respiración más natural, sobre todo al dormir.
¿En qué casos los adultos necesitan ortodoncia?
Cada vez más personas adultas deciden alinear sus dientes y mejorar la funcionalidad de su boca. Y no es casualidad. A cualquier edad pueden surgir desajustes que afectan a la mordida, la estética o la salud bucodental.
Podemos clasificar en cinco los tipos de adultos que necesitan ortodoncia:
- Adultos que nunca llevaron ortodoncia y ahora presentan apiñamiento, maloclusión o problemas funcionales.
- Personas que ya llevaron ortodoncia, pero no usaron los retenedores y sus dientes han vuelto a moverse.
- Pacientes cuya dentadura se ha desalineado con el tiempo por la erupción de las muelas del juicio u otros factores.
- Quienes necesitan crear espacio o alinear la mordida antes de otros tratamientos, como implantes o prótesis dentales.
- Personas con hábitos como el bruxismo que han alterado su oclusión y desgastado las piezas.
Si te reconoces en alguno de estos casos, la ortodoncia en adultos puede ayudarte a recuperar el equilibrio, la estética y la salud de tu sonrisa.
Caso real de ortodoncia en adultos con alineadores FAS y corticotomías
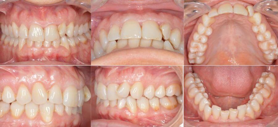
La paciente presentaba una malposición dental en la arcada superior e inferior, con apiñamiento dental, problemas de oclusión y desgaste evidente en varios incisivos. Estas alteraciones afectaban tanto a la estética como a la función masticatoria y a la estabilidad oclusal.
Antes
Malposición dental, apiñamiento en ambas arcadas y desgaste incisal.
Tratamiento
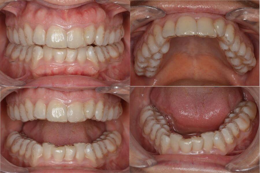
Se optó por un tratamiento de ortodoncia invisible con el sistema FAS Aligner, apoyado con corticotomías para acelerar el movimiento dental.
Posteriormente, se realizaron reconstrucciones estéticas para completar la función y armonía dental.
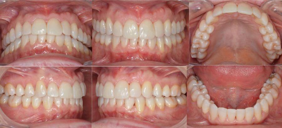
Después
Alineación completa de ambas arcadas, mejora funcional y una sonrisa más armónica y natural.
¿Hay una edad límite para llevar ortodoncia en adultos?
No, la ortodoncia en adultos no tiene límite de edad.
Los dientes responden al movimiento a cualquier edad, siempre que la salud de la boca lo permita. Eso sí, cada sonrisa viene con su historia: empastes, caries antiguas, coronas, implantes o incluso pérdida de piezas.
En casos como la osteoporosis o enfermedades que afectan al hueso, es necesario hacer un seguimiento más preciso. Pero si están controladas, no suelen suponer un impedimento.
Hoy en día, existen tratamientos adaptados a cada situación, incluso más discretos y cómodos como la ortodoncia invisible o los brackets estéticos (de zafiro o cerámica).
Conclusión
La ortodoncia en adultos no solo mejora la estética de la sonrisa, también protege la salud de tu boca a largo plazo.
Un tratamiento bien planificado ayuda a prevenir desgastes, facilita la higiene, alivia tensiones mandibulares y permite en muchos casos respirar, masticar y hablar con más comodidad.
En otras palabras, alinear tu sonrisa en la edad adulta es una inversión que devuelve salud, funcionalidad y seguridad al sonreír.
¿Tienes más dudas sobre la ortodoncia en adultos?
Ponte en contacto con nosotros o visita nuestra clínica dental en Granollers.







