¿Te sangran las encías al cepillarte? ¿Notas que tus dientes se mueven o que han cambiado de posición con el tiempo? ¿Sientes molestias al masticar o tienes mal aliento persistente?
Si te identificas con estas señales, es posible que tengas enfermedad periodontal. Y en ese momento surge esta duda: ¿se puede salvar un diente con periodontitis?
Menú de contenidos del Post
¿Realmente se puede salvar un diente con periodontitis?
Aunque depende de cada caso en concreto, la respuesta corta es sí.
Un diente con periodontitis se puede salvar en la mayoría de los casos, siempre que no exista una pérdida excesiva del hueso que lo sostiene y se realice un tratamiento periodontal adecuado.
Ahora bien, hay un matiz muy importante que conviene entender desde el principio:
La periodontitis o piorrea es una enfermedad que afecta a los tejidos que rodean y sostienen los dientes. Aparece cuando una gingivitis no se ha tratado correctamente y la infección avanza hacia zonas más profundas.
En ese momento, la encía se separa del diente y se forman bolsas periodontales donde se acumulan bacterias.
El problema es que esa infección no se queda en la encía. Con el tiempo, puede afectar al hueso que sujeta el diente.
Y aquí está la clave. El hueso es el soporte del diente. Si ese soporte se pierde, el diente pierde estabilidad.
Por eso, en fases iniciales o moderadas, cuando todavía hay suficiente hueso, es posible frenar la enfermedad, controlar la infección y mantener el diente en boca. Sin embargo, cuando la pérdida ósea es muy avanzada, el diente puede llegar a moverse e incluso perderse.
En otras palabras, la piorrea no se puede revertir completamente, pero sí se puede tratar para detener su avance y conservar los dientes afectados.
Tratamientos para salvar tus piezas dentales con periodontitis
El tratamiento de la periodontitis depende del momento en el que se detecta la enfermedad y del grado de afectación de las encías y del hueso.
En fases iniciales, suele ser suficiente con un tratamiento sin cirugía. Sin embargo, cuando la piorrea está más avanzada y ya existe pérdida de tejido o masa ósea, es necesario recurrir a técnicas más complejas.
Por esto, antes de empezar, es fundamental realizar un diagnóstico completo y valorar cada caso de forma personalizada.
Raspado y alisado radicular
El tratamiento comienza con una limpieza profunda que actúa tanto en la superficie del diente como bajo la encía.
Durante este procedimiento, se elimina el sarro acumulado en las bolsas periodontales mediante raspado, y posteriormente se alisa la raíz del diente para dificultar que las bacterias vuelvan a adherirse.
De este modo, se reduce la inflamación de las encías y se controla la infección en las fases iniciales o moderadas de la enfermedad.
Antibióticos
En los casos en los que la infección es más avanzada, el tratamiento se refuerza con antibióticos.
Estos pueden aplicarse de forma local en las bolsas periodontales o mediante tratamiento oral, según las características de cada paciente.
Su función es actuar directamente sobre las bacterias que provocan la enfermedad y mejorar la respuesta al tratamiento mecánico.
Cirugía periodontal y reducción de bolsas
Cuando el tratamiento inicial no es suficiente, es necesario acceder a zonas más profundas.
En estos casos, se recurre a la cirugía periodontal, en la que se levanta la encía para limpiar en profundidad las raíces y eliminar el sarro acumulado en las bolsas.
Una vez tratada la zona, se reduce la profundidad de las bolsas periodontales, facilitando el control de la enfermedad y evitando que vuelva a progresar.
Regeneración de encía y hueso
Si la periodontitis ha provocado una pérdida de tejido o de hueso, el tratamiento continúa con técnicas regenerativas.
En estos casos, se pueden realizar injertos de encía para cubrir raíces expuestas y proteger los dientes, o injertos de hueso cuando el soporte se ha visto comprometido.
Además, mediante técnicas como la regeneración tisular guiada, se colocan membranas que favorecen el crecimiento del hueso y de los tejidos periodontales.
En algunos casos, este proceso se refuerza con proteínas que estimulan la regeneración de estos tejidos.
Mantenimiento periodontal y seguimiento
Una vez controlada la enfermedad, el tratamiento no termina.
Para evitar que la periodontitis vuelva a aparecer, es necesario realizar un mantenimiento periodontal periódico, en el que se revisa el estado de las encías, se limpian las bolsas periodontales y se controla la evolución del paciente.
Además, el seguimiento en casa es fundamental. Mantener una buena higiene bucodental y seguir las indicaciones del especialista resulta clave para conservar los resultados a largo plazo.
¿Y si no se puede salvar el diente o ya se ha perdido?
Cuando la pérdida de hueso es muy avanzada o el diente ya no está en boca, el tratamiento se centra en recuperar la función y la estética de la sonrisa.
En estos casos, no solo se trata de sustituir la pieza ausente, sino de devolver el equilibrio a toda la boca.
Las principales opciones son:
- Implantes dentales: sustituyen la pieza perdida de forma fija y duradera. Antes de colocarlos, es imprescindible tratar la periodontitis y, en algunos casos, recuperar el volumen óseo. Además, requieren un mantenimiento estricto.
- Puentes dentales: permiten reemplazar uno o varios dientes apoyándose en las piezas adyacentes, siempre que estas estén en buen estado.
- Prótesis dentales: pueden ser fijas o removibles. Se utilizan cuando faltan varias piezas y permiten recuperar la función y la estética de la boca.
- Coronas dentales: se utilizan cuando los dientes que permanecen están debilitados o muy restaurados, para recuperar su forma y función.
- Carillas dentales: indicadas cuando los dientes se conservan pero presentan alteraciones de tamaño o forma, mejorando la estética de la sonrisa.
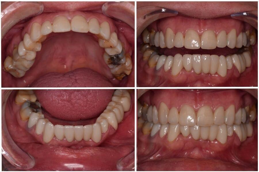
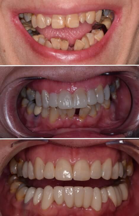
Caso real de enfermedad periodontal con pérdida dental y solución integral en COI
En este caso, la paciente acudió a nuestra consulta con problemas en sus encías, ausencia de piezas dentales y una estética dental que le incomodaba, tras tiempo sin encontrar una solución global a su situación.
Tras un estudio completo realizado por nuestro equipo de especialistas, establecimos el siguiente diagnóstico:
- Paciente con enfermedad periodontal.
- Ausencia de piezas dentarias.
- Apiñamiento inferior.
- Coronas dentales mal adaptadas.
- Dos incisivos dentales microdónticos.
- Desnivel de márgenes gingivales.
Gracias a una planificación digital previa, diseñamos el resultado final antes de iniciar el tratamiento, lo que nos ayudó a abordar cada fase con precisión y coherencia.
El tratamiento se planteó de forma integral, combinando distintas especialidades:
- Tratamiento periodontal completo.
- Implantes dentales para sustituir piezas ausentes.
- Alargamiento coronario para nivelar las encías.
- Carillas superiores de composite.
- Coronas de zirconio en la parte inferior.
Este es el antes y después de realizar todo el tratamiento integral:
Preguntas frecuentes
¿Cómo saber si la periodontitis está muy avanzada?
Depende del estado de las encías y del soporte del diente. Cuando la enfermedad progresa, pueden aparecer signos como encías retraídas, movilidad dental o separación entre dientes.
También es frecuente notar sangrado al cepillarse, mal aliento o sensibilidad. Eso sí, no siempre duele, por lo que puede avanzar sin que te des cuenta.
Para confirmarlo, es necesario acudir a consulta y realizar una valoración periodontal completa.
¿Cuándo es demasiado tarde para tratar la periodontitis?
No hay un punto exacto en el que no se pueda intervenir.
Sin embargo, cuando el hueso que sostiene el diente se ha perdido en exceso, puede que ya no sea posible conservarlo. En estos casos, el tratamiento se centra en controlar la enfermedad y recuperar la función con otras soluciones.
Por eso, cuanto antes se actúe, mejor será el pronóstico.
¿Cuáles son las fases del tratamiento periodontal?
El tratamiento se realiza por etapas y siempre se adapta a cada paciente.
Primero se lleva a cabo el diagnóstico, donde se evalúa el estado de encías y hueso. Después, se realiza una limpieza profunda mediante raspado y alisado radicular para eliminar el sarro acumulado bajo las encías.
Si la enfermedad lo requiere, se recurre a tratamientos quirúrgicos para acceder a zonas más profundas. Y, una vez controlada, se pasa a la fase de mantenimiento periodontal.
¿Qué pasa si no trato la periodontitis?
La enfermedad no se detiene por sí sola. Con el tiempo, avanza y afecta al hueso que sostiene los dientes. Esto puede provocar movilidad dental y, en última instancia, la pérdida de piezas.
Además, no solo afecta a la boca. También se ha relacionado con problemas de salud general.
¿Es posible prevenir la periodontitis?
Sí, la periodontitis puede prevenirse y, en caso de tener predisposición genética o una enfermedad que la active, ayudar a retrasarla y controlarla.
¿Es posible revertir la periodontitis?
No, la periodontitis no se puede revertir por completo.
El daño que provoca en el hueso y en los tejidos es irreversible. Sin embargo, con el tratamiento adecuado, se puede detener, controlar la enfermedad y frenar su progresión.
Conclusión
Por más frecuentes que sean, no hay que subestimar el daño que pueden causar las enfermedades periodontales si no se tratan a tiempo. Muchas veces pasan desapercibidas, pero pueden avanzar hasta comprometer la estabilidad de los dientes.
Por eso, ante el primer signo de sangrado o inflamación, es importante acudir a tu clínica dental para frenar su evolución.
¿Has notado sangrado de encías o crees que puedes tener una enfermedad periodontal?
Si aún tienes dudas al respecto, contacta con nosotros: nuestros especialistas en periodoncia en Granollers te las resolverán rápidamente.








