¿Qué son las troneras dentales, cómo se forman y cómo eliminarlas?

Eliminar troneras dentales

¿Te miras al espejo y notas que hay pequeños huecos en forma de triángulo en tus dientes donde antes había encía? Si te identificas con esta situación, es posible que tengas troneras dentales.

Sigue leyendo y descubre los diferentes tratamientos que podemos ofrecerte para eliminarlas y recuperar la armonía de tu sonrisa.

¿Qué es una tronera dental?

Las troneras dentales se tratan de pequeños huecos con forma triangular que aparecen entre dos piezas dentales, justo en la zona donde la encía debería rellenar el espacio.

Surgen cuando desaparece o se reduce la papila interdental, el tejido gingival situado entre diente y diente.

Como consecuencia, los dientes contiguos no llegan a contactar en su parte superior, aunque sí lo hacen más abajo, y queda visible ese pequeño espacio cercano a la encía.

Este tipo de separación puede favorecer la acumulación de placa bacteriana y dificultar una limpieza completa de los dientes implicados.

¿Qué son las troneras dentales?

¿Las troneras dentales tienen solución?

Sí, las troneras dentales tienen solución.

El tratamiento para corregirlas dependerá del origen del problema, del estado de las encías y de tus necesidades estéticas y funcionales.

No todos los casos se tratan igual, ya que esta patología puede aparecer por retracción gingival, pérdida de hueso o cambios en la posición de los dientes.

Ácido hialurónico

En los casos más leves, cuando la tronera dental se debe a una ligera pérdida de volumen en la papila interdental, se puede recurrir a infiltraciones de ácido hialurónico.

Este tratamiento consiste en aplicar pequeñas infiltraciones en la encía para aumentar su volumen y mejorar el relleno del espacio entre los dientes. De esta forma, se reduce el triángulo negro visible y se mejora la estética de la sonrisa.

Sus efectos no son permanentes, por lo que con el tiempo es necesario repetir el procedimiento para mantener el resultado.

Stripping dental

El stripping dental es una técnica que consiste en modificar ligeramente la forma de los dientes implicados para hacerlos más cuadrados y menos triangulares.

De esta manera se elimina el punto de contacto original entre ambos dientes y se crea un nuevo espacio con forma más rectangular. Este cambio facilita que el nuevo punto de contacto dental se sitúe más cerca del hueso.

Gracias a ello se favorece el desplazamiento de la papila interdental y se mejora el relleno del espacio entre los dientes.

Ortodoncia

Cuando el origen de las troneras dentales está relacionado con la posición de los dientes, el tratamiento más indicado suele ser la ortodoncia.

Mediante movimientos dentales controlados, se consigue cerrar progresivamente el espacio desde la parte superior. Así, el nuevo punto de contacto entre los dientes se acerca al hueso y facilita que la encía vuelva a rellenar la zona.

En muchos casos, este tratamiento se combina con el stripping para conseguir un resultado más estable y natural.

Reconstrucción con composite

Otra opción frecuente es la reconstrucción estética con composite.

Este procedimiento consiste en añadir pequeñas cantidades de resina estética sobre la superficie de los dientes para modificar ligeramente su forma. De esta manera se reduce el espacio visible entre las piezas y se mejora la armonía de la sonrisa.

Se trata de un tratamiento conservador, rápido y muy utilizado cuando el objetivo es principalmente estético.

Carillas dentales

Cuando las troneras dentales afectan de forma notable a la estética de la sonrisa, se puede recurrir a carillas dentales.

Son láminas muy finas de porcelana o composite que se colocan sobre la superficie del diente. Su función es modificar la forma, tamaño y proporción de las piezas dentales.

Gracias a este cambio en la anatomía del diente, es posible cerrar los espacios negros y conseguir una sonrisa más uniforme.

Injertos de encía

En los casos más severos, cuando la tronera dental está relacionada con una pérdida importante de tejido gingival, puede ser necesario recurrir a un injerto de encía.

Este procedimiento consiste en añadir tejido gingival en la zona afectada para recuperar el volumen perdido y mejorar el soporte de la papila interdental.

El objetivo es restablecer la anatomía natural de la encía y reducir o eliminar el espacio visible entre los dientes.

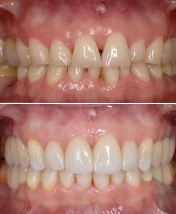
Caso de troneras dentales antes y después relacionado con bruxismo

En ocasiones, las troneras dentales no aparecen de forma aislada, sino que están relacionadas con otros problemas funcionales de la boca.

Este fue el caso: el paciente acudió a consulta porque llevaba tiempo sufriendo molestias constantes en la boca y dolor mandibular sin saber cuál era el origen.

Tras realizar un diagnóstico completo, detectamos que padecía bruxismo y trastornos en la articulación temporomandibular (ATM).

La presión continua provocada por apretar y rechinar los dientes había generado desgaste en algunas piezas dentales y alteraciones en el contacto entre ellas.

Como consecuencia, comenzaron a aparecer troneras dentales visibles entre los dientes anteriores, además de dolor, tensión y sobrecarga muscular.

Una vez identificado el origen del problema, se inició el tratamiento para corregir este hábito nocivo y rehabilitar la estructura dental.

Resultados del tratamiento

Antes y después de tratar el bruxismo y las troneras dientes

  • Desaparición del dolor y de las molestias continuas.
  • Corrección del bruxismo como causa principal del problema.
  • Reconstrucción dental estable y funcional.
  • Recuperación de la sensación de bienestar y normalidad en la boca.

Este tipo de casos demuestra que las troneras dentales, en algunos pacientes, pueden ser la consecuencia de otros trastornos bucodentales, por lo que realizar un diagnóstico completo resulta clave para aplicar el tratamiento adecuado.

¿Quieres cerrar tus troneras dentales?

Sí, pedir más información

Principales causas de las troneras dentales

Las troneras dentales se producen por:

  • Retracción de encías: cuando el tejido gingival pierde volumen y deja visible el espacio entre los dientes.
  • Dientes con forma triangular por genética: el punto de contacto entre las piezas se sitúa más abajo y deja un hueco cerca de la encía.
  • Pérdida de hueso dental: al reducirse el soporte óseo que sostiene los dientes, la papila interdental desaparece.
  • Higiene bucodental deficiente: favorece la acumulación de placa bacteriana y el desarrollo de enfermedades periodontales.
  • Maloclusión dental: una mala posición o encaje de los dientes altera el contacto entre las piezas.
  • Hábitos nocivos como el bruxismo: apretar o rechinar los dientes genera una sobrecarga en los tejidos que rodean al diente.
  • Envejecimiento natural de la boca: con el paso del tiempo las encías pierden volumen y elasticidad.
  • Cambios en la posición de los dientes: los movimientos dentales pueden modificar el contacto entre las piezas y favorecer la aparición de estos espacios.

Conclusión

La aparición de troneras dentales no solo ocasiona problemas estéticos en la sonrisa, sino también dificultades en la higiene entre los dientes, favoreciendo la acumulación de placa bacteriana y afectando a la salud bucodental.

Por ello, es importante detectar el origen de estos espacios entre los dientes cuanto antes para que la salud de las encías y el equilibrio de la dentición se mantengan de forma óptima.

En cualquier caso, existen diferentes tratamientos para corregir las troneras dentales. Obviamente, son tratamientos totalmente personalizados, pues dependen de la causa que las haya provocado, del estado de las encías, de la forma de los dientes y de la salud bucodental del paciente.

¿Tienes troneras dentales y quieres cerrar esos espacios?

Ponte en contacto con nosotros sin compromiso para que analicemos tu caso, o ven a visitarnos a nuestra clínica dental en Granollers.

Compártelo en Redes Sociales

Imagen de Dr. Pablo Rial Serodio
Dr. Pablo Rial Serodio

Especialista en Rehabilitación Oral, Ortodoncia, Oclusión Funcional y diseño digital de la sonrisa. El Doctor Pablo Rial (n.º de colegiado 1907) cuenta con más de 30 años de experiencia y es Director médico de COI Clínica Dental en Granollers y Clínica Dental DEN en Barcelona. Su enfoque profesional combina tecnología, precisión diagnóstica y una atención cercana y personalizada.

Ver BIO Dr. Pablo Rial
Scroll al inicio